Com tecnologia de ponta e laboratório próprio, entregamos reabilitações precisas e naturais, do diagnóstico à finalização.
A odontologia está em nosso sangue há três gerações. Desde o nosso avô, há mais de 40 anos no mesmo bairro, mantemos o compromisso com a excelência e a confiança.
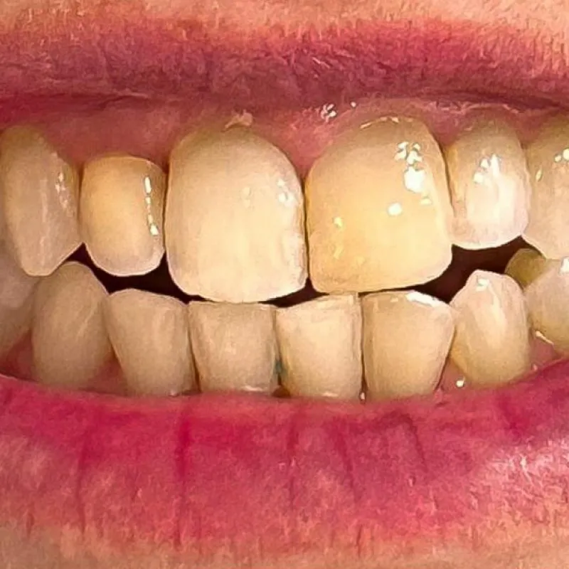
Nosso foco está em reabilitação oral com qualidade premium. Do planejamento digital à entrega final, tudo com conforto e precisão.
com prótese protocolo fixa
e lentes de contato dental
com resultado natural
invisíveis
com Dra. Letícia
Com exames e laboratório no local, você ganha tempo e segurança em cada etapa.
A Lombardi Odontologia oferece:
Exames de imagem na própria clínica
Planejamento computadorizado e simulações
Laboratório integrado para entregas rápidas
Atendimento acolhedor e sem filas
Reabilitações que devolvem autoestima, conforto e segurança para sorrir.




Acompanhamos você em todas as etapas do processo. Desde o primeiro atendimento até a recuperação total, oferecemos um suporte contínuo, individualizado e humanizado, assegurando segurança, bem-estar e resultados consistentes ao longo do tempo.
Entre em contato pelo WhatsApp por meio dos botões disponíveis. Nossa equipe retornará rapidamente e orientará você no agendamento.
Na primeira consulta, realizamos uma avaliação completa, com análise clínica, exames de imagem e atenção às suas expectativas, apresentando as opções de tratamento mais adequadas aos seus objetivos estéticos e funcionais.
Utilizamos tecnologia avançada, como design de sorriso 3D e escaneamento intraoral, para simular os resultados antes do início do tratamento, garantindo um planejamento alinhado às suas expectativas.
Com o plano aprovado, o tratamento é iniciado conforme um cronograma cuidadosamente definido e adaptado à sua disponibilidade, com acompanhamento contínuo, revisões periódicas e suporte dedicado em todas as etapas para garantir um resultado preciso e duradouro.
Cada detalhe da nossa clínica foi planejado para que você se sinta à vontade desde o primeiro momento.
Ambiente climatizado, recepção aconchegante, atendimento humanizado e privacidade em todas as etapas do cuidado.